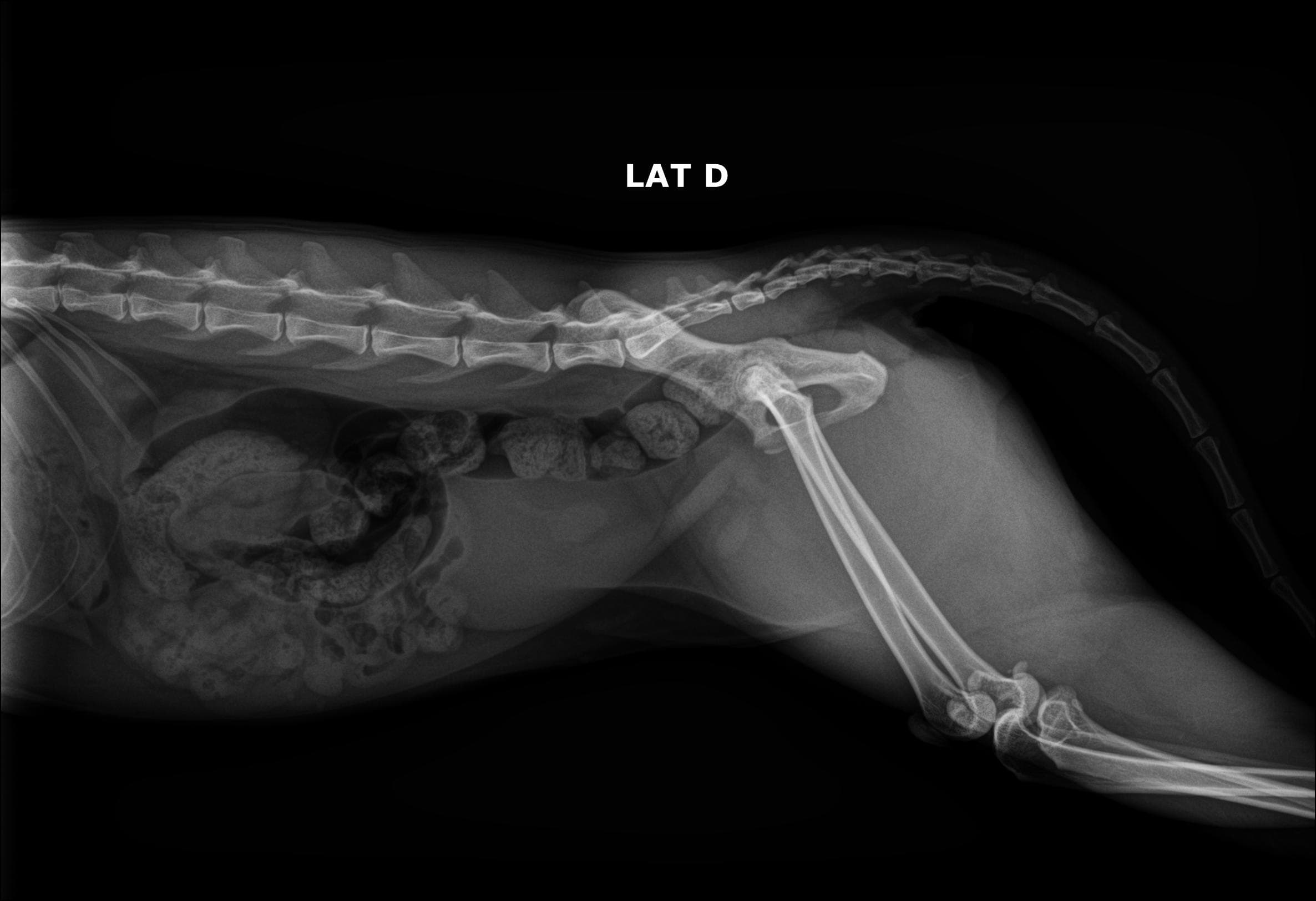
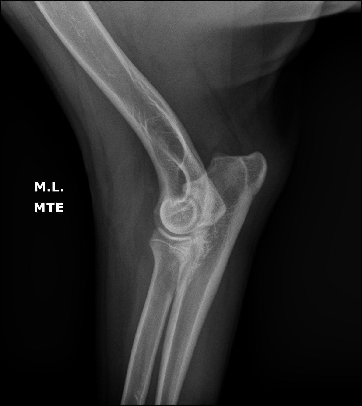
Sobre o serviço
Nosso serviço de radiologia digital é projetado para oferecer diagnósticos precisos para cuidar da saúde dos pets. Contamos com equipamentos de última geração que nos permitem capturar imagens de alta qualidade e definição, fornecendo uma visão clara das estruturas. Essa tecnologia avançada nos permite identificar diversas condições médicas com maior precisão e detalhamento.
Além disso, a radiologia digital oferece a vantagem de resultados imediatos, facilitando a tomada de decisões rápidas e eficientes. Nossa equipe de profissionais trabalha com dedicação e cuidado para garantir o conforto e bem-estar dos pets durante o procedimento radiográfico.

















